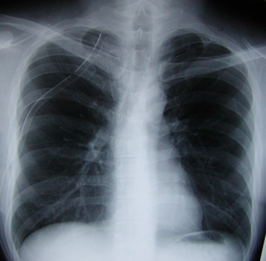
向かって左側の胸腔(右肺)にドレーンを残置して脱気したため、肺が膨らんでいます。
左の胸腔内を左下から鎖骨の上までドレーンが伸びているのが分かります。
12月2日の手術後のドレーンのため目一杯上の方まで入っています。
写真−1と比べると肋骨がスッキリ写っていた部分が白っぽくなり、肺が膨らんだことがわかります。